|
Greener Journal of Medical Sciences Vol. 8(3), pp. 027-050, June, 2018 ISSN: 2276-7797, ICV: 5.98 Copyright ©2018, the copyright of this article is retained by the author(s) DOI Link: http://doi.org/10.15580/GJMS.2018.3.031218043 http://gjournals.org/GJMS |
|
Sonographic Evaluation of the Normal Uterine Size and Volume Amongst Women of Ages 18 – 50 Years at the University of Port Harcourt Teaching Hospital
Wehke C1,2, Eli S3,4
Greener Journal of Medical Sciences, vol. 8, no. 3, pp. 027-050, June 2018
1Department of Radiology, University of Port Harcourt Teaching Hospital.
2Department of Radiology, Braithwaite Memorial Specialist Hospital.
3Department of Obstetrics and Gynaecology, University of Port Harcourt Teaching Hospital.
4Mother and Baby Care Global Foundation.
|
ARTICLE INFO |
ABSTRACT |
|
|
Article No.: 031218043 Type: Research DOI: 10.15580/GJMS.2018.3.031218043
|
INTRODUCTION: The uterus is a reproductive organ located at the top of the vagina. The accurate determinant of the normal uterine size is of utmost importance to the gynaecologist because of its use in the management of gynaecological conditions. AIM: The aim of this study was to establish the values of normal uterine size and uterine volume in non-gravid adult females between the age of 18-50years at the University of Port Harcourt Teaching Hospital (UPTH). METHODOLOGY: Three hundred and seven non gravid female subjects were studied using the transabdominal technique of uterine examination with a 3.5MHZ transducer. The length, width and thickness of the uterus in each subject were obtained and the uterine volume calculated using the prolate ellipsoid formula obtained by the multiplication of length, width and thickness by a conversion factor of 4/3pi. In addition, the weight, height, parity, age as well as Body mass index(BMI) of each woman was recorded. Correlations between variables were calculated with Pearson correlation coefficient and linear regression analysis used. RESULTS: The age range for the study population was 18-50 years. The study recorded a mean uterine size of 6.74+0.70cm, 5.47+0.95cm and 4.45+0.73cm for the length, width and antero-posterior diameters respectively and mean volume of 75.45+26.36cm3. This study established a significant positive correlation between uterine size and volume and the various anthropometric variables namely age, body weight and body mass index(BMI).Significant differences between overall uterine size and uterine volume in the different age groups were also found. CONCLUSION: The study was able to give normal values of uterine size in this locality, the data from this research can be used as a baseline to accurately assess the uterine size and volume of non-pregnant adult females. The study also established that while age, parity, weight and BMI are important predictors of uterine size and uterine volume, the height of a woman has little or no effect on the uterine size and volume. . |
|
|
Submitted: 12/03/2018 Accepted: 27/03/2018 Published: 01/06/2018 |
||
|
*Corresponding Author Dr. Eli S. (MB BS, FWACS) E-mail: elisukarime@ gmail. com
|
||
|
Keywords: Sonographic evaluation, uterine size and volume, UPTH |
||
|
|
|
INTRODUCTION
The uterus is a female reproductive organ located at the top of the vagina. Dandolu et al1 reported that accurate determination of the normal uterine size is of utmost importance to the gynaecologist because of its use in the management of some gynecological cases, such as uterine neoplasms, congenital abnormalities (such as unicornuate uterus, atretic uterine cavity etc) and possible uterine infections for example tuberculosis resulting in pus accumulation within the uterine cavity.
Danddolu et al1 also stated that the size of the female uterus varies depending on the age, parity and BMI (Body Mass Index) of the individual and that the uterus increases in dimension with increasing age and parity. However, the post- menopausal uterus is dimunitive in size due to atrophic changes1.
Didia et al2 stated that uterine dimensions have been fairly well established amongst Caucasian women, with values readily available in various texts of anatomy, pathology and gynaecology. It therefore becomes compelling to establish similar values for negro women. They also reported that fibromyomata, the commonest growth of the uterus and one of the most common tumors worldwide occur most frequently in negro women at an earlier age compared to Caucasian women.
Uterine volume calculated using prolate ellipsoid formular, according to Fazana et al3, is an accurate method of measuring uterine size and a knowledge of this affords us an opportunity of differentiating the normal from the abnormal uterus.
Normal uterine dimensions have been fairly well established for Caucasian women with values readily available in text books of anatomy like Ryan et al4In Nigeria, Didia et al2 conducted a study on normal uterine dimensions in Nigerian women. The values of the various parameters of uterine size obtained from that study are as follows, length (7.30+1.3cm), antero-posterior diameter (3.57+0.60cm) and transverse diameter (4.76+0.79cm).
A transvaginal sonographic study of uterine size was done byMerzet al5 on 745 women, comprising both pre and postmenopausal women. In the premenopausal group, parity related increase in uterine size was observed between nulliparous and multi parous women. After the menopause a significant reduction in uterine size was observed, the reduction in uterine size was found to be related to years since postmenopause4.
Transabdominal ultrasound scan instead of transvaginal route is preferred because-transabdominal route is less invasive and secondly if the uterus has grown well above the pelvis the transvaginal route may not demonstrate it properly.
Merz et al5 also enumerated the various advantages of ultrasonography over other imaging modalities like Magnetic Resonance Imaging (MRI), Computed Axial Tomography (CT) and Plain radiography which include: Ultrasound is non invasive, affordable and fast, readily available and uses non-ionizing radiation.- There is usually no need for the administration of any drug in form of contrast.
On the other hand CT and MRI are expensive, time consuming, not readily available and involves the use of intravenous contrast, while CT and Plain Radiography involves the use of ionizing radiation. The major pitfall of Ultrasound scan is that it is operator dependent and so prone to inter and intra observational errors.
There is the need to have normal range of uterine sizes which is useful in taking critical clinical decisions in Obstetrics and Gynaecological practice. Ultrasound imaging of the uterus would be greatly valuable in achieving this aim. There is paucity of published information on knowledge of the normal uterine dimensions using ultrasound is important in women in detecting some of the many diseases seen by Gynecologists and Obstetricians. Ultrasound is particularly suited for the diagnostic investigation of uterine size because it makes use of non-ionizing radiation, permits multi- sectional scanning of organ. It is convenient and affordable. If sonographic measurements are known it may suggest the possibility of an ongoing disease process such as leiomyoma, adenomyosis or congenital abnormalities of the uterus. This is because in leiomyoma uteri and Adenomyosis the uterus is usually enlarged, while in congenital abnormalities like in Turner’s syndrome the uterus appears infantile.
Ultrasound examination is usually of value in resolving the nature of uterine leiomyomata7, 8. Transvaginal and abdominal ultrasonography are effective for determining the dimensions of the uterus, allowing the organ to be examined to a potential depth of 10cm (the patient needs a full bladder in the case of transabdominal ultrasonography (TAS)). The normal uterine size in non-gravid adult females is important because it enables the gynecologist to ascertain ongoing disease process as reported by Robbins and Cotran9.
Various studies have shown uterine size to vary with age, parity and menstrual status. Pironen and Kaihola10 did the earliest studies on ultrasound assessment of normal uterine size in 1975and corroborated this finding. In search of an accurate means of assessing the uterine size some parameters such as length, width and antero-posterior diameter of the uterus using ultrasound scan have been evaluated by11.
In a study conducted by Farzana et al3, he compared the uterine volumes of married and unmarried women and he reported a gradual increase in the uterine volume of the married postmenopausal women who had parity ranging from 4,and 6. The increase in uterine volume was found to be lesser in unmarried postmenopausal women. Farzana3 attributed this to hormonal effect and concluded that this study is useful in assessing gynaecological problems in this age group.
In a study done by Egbase et al12, the apparent length of the uterine cavity affects the rate of implantation and clinical pregnancy. Their study shows that the highest implantation and clinical pregnancy rates were seen in women with a uterine cavity length of between 7-9cm.Their study groups were divided into 3 groups of less than 7cm, 7-9cm and greater than 9cm respectively.
Nazari et al13 reported that ectopic pregnancy rates were commoner in women with uterine cavity of less than 7cm,and that increasing length of the uterine cavity appeared to be associated with greater mean maternal age and parity but the differences are not statistically significant. During fetal life, the size of the uterus initially increases at a slow rate till the end of first semester, after which it increases at a faster rate due to maternal oestrogen. And immediately after delivery, it decreases due to cessation of maternal oestrogens. This was shown in a study carried out by Esmaelzadeh et al11.
The form and size of the uterus changes with an individual’s age, obstetric history and menstrual status. The latter is so because very close to the time of menstruation, the pelvic veins become larger (three times its normal size), and the women suffer pelvic congestion, the uterine size is also increased at this time as reported by Pironen and Kaihola10.
There is a marked difference between the mean uterine size of multiparous and nulliparous women owing to the effects of delivery on the uterus as reported by Esmaelzadeh11.
Waldroup et al14 stated that there is a correlation between the age and uterine size of a woman, which may be due to the ovarian estrogen secretion.
The uterus grows during the reproductive years of a woman’s life and ceases at menopause, ultimately regressing in size to approximate its prepubertal form.
A study carried out in 2001 by Gull et al15 shows that in addition to age, parity and menstrual status, the uterine size is also affected by smoking, hypertension and diabetes mellitus. The outcome of pregnancy is affected by size and shape of uterus as reported in a study carried out using sonohysterosalpingography by Adcock16. It further stated that abnormally shaped uteri, for example unicornuate uterus, are associated with poor outcome of pregnancies and that T-shaped cavities are more prone to poor pregnancy outcomes than those more arcuate shaped and smaller uterine cavities.
Boechat et al17conducted a study on genital development and they discovered that chromosomal abnormalities e.g. Turner’s syndrome may occasionally show abnormal genital development, suggesting that uterine size could be affected by chromosomal abnormalities.
This was further confirmed in a study by Doerr18where the sonographic size of uterus in patients with Turner’s syndrome after induction of puberty with oestrogens and growth hormone (GH) was evaluated and discovered that only women with Turner’s syndrome (Karyotype 45X0/46XX) had normal uterus.
Tssikhorozidou19 et al conducted a study using 58 women with isolated growth hormone deficiency (GHD) and oestrogen deficiency, using transabdominal pelvic ultrasound scans and they reported that uterine length and cross sectional area were significantly less compared to healthy controls.
A third of the study group were given oestrogen and a second transabdominal pelvic ultrasound scan was carried out on them; hence they concluded that (GHD) can affect uterine size independently and more so (GHD) has an additive effect with oestrogen deficiency, they reported that the group that was given oestrogen showed an improvement in uterine size when the second transabdominal pelvic ultrasound scan was done.
The size of a woman’s uterus can predict whether she is at risk of having very premature twins after IVF (In Vitro Fertilization). According to Merz et al5 and Hirt20, women with small uteri had an increased chances of having babies born severely premature, and increased number of fetal deaths; women who already have children were less likely to give birth to premature babies because their uterine cavity had been distended by previous pregnancies.
The uterine size increases significantly towards the end of an ovulatory menstrual cycle. Robbins and Cotran9in their study confirmed this,and reported an increase in basal body temperature, biochemical assay of plasma oestradiol and progesterone in ovulatory menstrual cycles.
Olayemi et al21, in their study conducted on 300 women in 2002at Ibadan, concluded that negro patients have larger uteri, which correlate positively with parity.
Esmaelzadeh et al11 in their study discovered that uterine size is not affected by Body Mass Index(BMI) but it is affected by age and parity in contrast to that conducted by Dandolu et al1. In another study done by Seffah and Adanu22 amongst young Ghanaian women using Transabdominal ultrasonography, it was discovered that the mean length of uterus was 7.1 ± 1.1cm, mean width 1.6 ± 0.9cm, and mean transverse diameter 2.9 ± 0.5cm.
Uterine size is also affected by pathologies in the uterus as reported by Ohagwu et al23, Akinola et al24etc. Ohagwu et al23 stated that the Uterine Roundness Index: (UTRI) is increased by the presence of a mass and reduced by the presence of congenital malformations.
The values of normal uterine sizes in negroes do not differ considerably with already established values reported for Caucasian women, but a lower incidence of retroversion (10%) amongst Nigerian females was observed in a study done by Didia et al2 as compared to (20%) amongst Caucasians.
Various authors such as Fazana et al3 and Platt et al25 have calculated the volume of uteri from sonograms prior to hysterectomy using the prolate ellipsoid formula in the Caucasian population. In their respective studies, they reported that uterine volume calculated from prolate ellipsoid equation corresponds to the actual uterine volume. Platt25 in his study of uterine size in 156 postmenopausal women scheduled for hysterectomy, reported that the evaluation of uterine volume using sonogram is the actual size of the uterus. This is particularly useful in postmenopausal women in whom subjective evaluation of uterine enlargement is often difficult because when a sonographically enlarged but otherwise normal uterus is discovered, it may contain a leiomyoma or other pathologies morphologically undetectable by ultrasound.
Kurtz et al26 also conducted a study on total uterine volume they concluded that the prolate ellipsoid formula was inaccurate and inconsistent in the calculation of uterine volume. They reported that the stepped area-to-volume technique has proven to be both accurate and consistent and provides a value equal to the true uterine volume. They proved this by plotting the true volumes of the uterus on already published graphs derived from prolate ellipsoid formula, and found it to be inaccurate.
They also used a device developed by Kurtz in 1980, called Kurtz cavimeter in measuring the endometrial cavity length and transverse diameters. They reported that knowing these measurements will help in reducing some unwanted side effects of Intrauterine Contraceptive Device(IUCD)use, because the study is designed to determine changes in uterine cavity measurements with parity these uterine dimensions has been found to be useful in the selection of the appropriate Intrauterine Contraceptive Device (IUCD) for each woman.
They concluded that, there is a slight increase in the total uterine length due to endometrial cavity length and tranverse diameter in relationship to parity. Benaceraff et al27 suggest that gynaecologists should employ the use of ultrasonography in measuring the width of uterine cavity to avoid any hazard from IUCD insertion. They conducted a study in premenopausal women and concluded that the mean width of the uterine cavity is 27mm in nulliparous women which is narrower than the width of standard IUCD been used.
Uterine volume estimation using ultrasonography was conducted by Sheth and Shah28 in 2004 where they reported the invaluable role of uterine volume as an aid to determining the success of vaginal hysterectomy in cases of prolapsed uterus, multiple huge uterine leiomyomata, dysfunctional uterine bleeding etc. In their study normal uterine volume ranges between 90-100cm3, this finding suggest that uterine volume below 200cm3 will pose no difficulty to the surgeon. For volumes above 400cm3debulking will be required, between 500cm3 and 700cm3 vaginal hysterectomy is likely to fail and so transabdominal route becomes an option for values greater than 300cm3 but less than 400cm3, skill is required to accomplish a vaginal hysterectomy
Oladapo et al29 concluded that increased uterine size does not significantly affect clinically important overall morbidities in women who have uterine leiomyoma and so women with very large uterine size should not be denied Transabdominal myomectomy for the sake of safety.
Thus morbidities in women with large uterine sizes is comparable to those with small uterine sizes.
They reported this in a study conducted in 2010, on “Relative morbidity of Abdominal myomectomy for women with large uterine fibroids in a developing hospital”.
Some authors have also studied uterine volume in Nigeria. These include Ohagwu et al23 they conducted a study on Uterine Roundness Index(UTRI),which is the ratio of the antero-posterior diameter to the length. This value can be altered when one of the dimensions is increased or decreased by the presence of a mass and congenital abnormality such as unicornuate uterus.
They noted that in leiomyoma uteri, the uterus sometimes becomes large and changes contour which affects both size and the normal pear shape and that uterine malformations are only suspected at ultrasonography when uterine shape and size are abnormal.
Their results showed significant correlation between UTRI and anthropometric variables (age, weight, height).They observed a positive correlation between UTRI and the aforementioned variables in premenarchal subjects, and a correlation between UTRI and weight in nulliparous, multiparous and postmenopausal women. A general upward trend was observed from premenarchal value to multiparous value, and then a decline to a value comparable to nulliparous value in post menopausal women was observed.
Adams et al30 have shown that exogenous supply of hormones can also affect the uterine size and ovaries. In their study twenty-seven women with secondary amenorrhea were treated with pulsatile subcutaneous leutinizing hormone releasing hormone (LHRH).
They reported an increase in uterine size and follicular diameter while conducting serial pelvic ultrasonic scans. They noted a positive correlation between follicular size and uterine size and it suggest that the uterine size measured ultrasonically can be used as a bio-assay of follicular oestradiol production and that uterine growth also continues throughout the luteal phase of conception cycles and can be used as a very early sign of pregnancy. In other words uterine size increases as follicular oestradiol production increases.
Dekka et al31, confirmed a simultaneous increase in size of ovarian follicles, ovarian and uterine size with administration of leutinizing hormone (LH) to induce ovulation.
Magalhaes et al32 in their study conducted in 2007 on uterine volume and menstrual patterns in users of Levonorgestrel-releasing Intrauterine system,(LNG-IUS),reported that the uterine volume in women using the LNG- IUS for the treatment of uterine myoma, showed significant reduction in uterine volume especially in those presenting with menorrhagia but does not significantly reduce the volume of the myoma. This study was conducted using ultrasonography and total uterine volume and the volume of the leiomyoma were calculated using ellipsoid formula (antero-posterior (AP) x Length (L) x Transverse (T)) x 4/3 x Pi.
A relationship between the uterine size, parity and umbilical cord length of babies has also been documented by Torgrim et al33.They showed a statistically significant difference between the cords of babies born by primiparous and multiparous women. This study was done using 1839 babies where they found that uterine cavity becomes larger with increasing parity and that the size of the uterine cavity is also a measure of the length of fetal umbilical cords. They concluded that umbilical cords of babies born by multiparous women were longer when compared to cords of those born by primiparous women.
In conclusion Ultrasound examination of the uterus has been found to be a useful diagnostic tool in the estimation of normal uterine size as well as pathologies involving the uterus especially fibromyomata which is the commonest lesion affecting the uterus in our environment.
MATERIALS AND METHODS
Study Approach- A prospective study on the sonographic evaluation of normal uterine size in non-gravid adult women was carried out in Radiology department of University of Port Harcourt Teaching Hospital, Port Harcourt (UPTH) Rivers state, Nigeria. This is a 600 bed tertiary hospital, which serves the catchment areas of Port Harcourt and surrounding towns and villages in Southern Nigeria.
Study Duration -This study was conducted between February and November 2011.
Sample Size- Three hundred and seven non-gravid adult women attending the gynaecological clinic of the hospital who were referred to the Radiology Department of University of Port Harcourt Teaching Hospital, for pelvic scan during the period and who also met the inclusion criteria were recruited into the study. The sample size was determined using the Kish formula34.
N = z2 PQ/D2
where
N = sample size
Z = standard normal deviation = 1.96 corresponding to 95% confidence level
P = Prevalence of non-gravid adult females in University of Port Harcourt Teaching Hospital with the attributes of interest during the period of study = 20% (0.2) Q= 1-p = 1-0.2 = 0.8
D = degree of accuracy of precision = 0.05

In order to reduce sampling error three hundred and seven (307) non- gravid adult females were used for this study. Informed consent was obtained.
Inclusion Criteria
1. All non-pregnant adult females between the ages of 18-50 years.
2. Women with no intrauterine pathologies such as leiomyoma, adenomyosis, gestational trophoblastic diseases.
Exclusion Criteria
1. All pregnant women.
2. Women in pueperium.
3. History of previous intrauterine pathologies.
4. Women under the age of 18years and above 50years
5. Incidental finding of uterine leiomyoma, adenomyosis and pelvic inflammatory disease.
The study was approved by the Ethical Committee of UPTH and an informed consent was obtained from each patient before inclusion into the study.
Technique
Real time grey scale ultrasound examination using Aloka 3500 (AlokaInc.Japan 2004) machine fitted with a 3.5MHZ curvilinear transducer was performed.
The uterus was scanned in two planes: longitudinal and transverse planes through the anterior abdominal wall (suprapubic region) using the full bladder as an acoustic window. The uterus was clearly identified as outlined by the homogenously hypoechoic myometrium and brightly echogenic endometrium (depending on the phase of the menstrual cycle).The uterine length(L) in centimeter was taken on longitudinal scan from the fundus to the external osin the mid-sagittal section (figure 3).
The antero-posterior diameter (AP)(thickness) in centimeter was also taken from a longitudinal scan, because its maximum diameter was taken in the mid- sagittal section of the body of the uterus figure 3 which can only be achieved on a longitudinal scan. Whereas the transverse diameter (width) in centimeter was taken on transverse scan with the probe rotated to between 700- 900 to the midline of the anterior abdominal wall and then angulated 15-30ocaudal to facilitate the measurement and it is the maximum measurement obtained in a cross section of the fundus figure 4.The uterine volume was calculated using prolate ellipsoid formula (Lx APxWx4/3pi).
The age, last normal menstrual period and parity were previously obtained by direct questioning. The height (in meters) and weight (in kilogram) were also measured using a dual height and weighing scale and recorded in the prepared form(Appendix II).
The body mass index was calculated from weight and height as follows:
Body mass index= weight (kg)/ (height (m))2 and the results recorded in the prepared form (Appendix II).
The BMI is thus categorized into 3 (three) classes namely: normal (18.5-25); overweight (25.5-30); obese (>30).
Study Limitation
The definition of non-gravid uterus by self-report and sonographic examination may pose as a limitation, as an individual may actually be pregnant even though a gestational sac is not yet evident.
Ethical Issues
Ethical clearance for the study was obtained from the Research and Ethics Committee of UPTH (Appendix 1). Informed consent was obtained from all the subjects in the study following a clear explanation of the study objectives and method (Appendix III).
Data Analysis
Data was recorded in the patient’s ultrasound worksheet (Appendix II) and these were entered into the computer spread sheet, Microsoft Excel (Microsoft Corporation USA), transferred to the Statistical Package for Social Sciences for Windows (SPSS Inc, Chicago, IL,USA 2010) version 16.0 and double checked to ensure accuracy of entry.

Figure 3:Line diagram showing measurement of uterine length and Antero- posterior diameter on longitudinal scan.

Figure 4: Line drawing showing measurement of the uterine width on transverse scan.

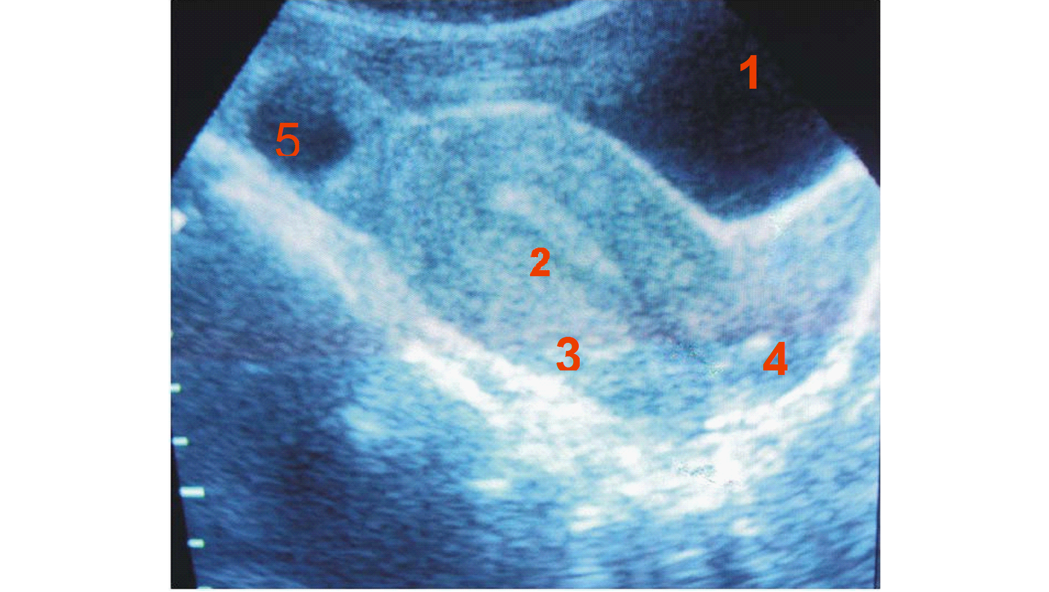
Figure 5a: Longitudinal ultrasound scan of the uterus demonstrating the uterine length and AP diameter.
Legend
1- Bladder
2- Endometrium
AB-Uterine length
CD-Antero-posterior diameter of uterus

Figure 5b: Transverse ultrasound scan of the uterus demonstrating the uterine width (EF)
Legend
1- Bladder
2- Endometrium
EF-Transverse diameter of uterus
AIMS AND OBJECTIVES
Major
To sonographically determine normal uterine size in non gravid adult females in South –South of Nigeria.
Minor
1. To establish a base line value of the normal uterine size in non-gravid adult females in South-South Nigeria.
2. To establish the effect of age, parity, body mass index (BMI) and menstrual period on uterine size and volume.
3. To compare with values from other parts of Nigeria, Africa and Caucasian population.
Hypotheses
The uterine volume on sonography is a valid assessment of the uterine size in non-gravid adult females.

Figure 1: Gross anatomy of the uterus and its relations (adapted from Anatomy for Diagnostic Imaging by Ryan4).
Figure 2a: Showing longitudinal ultrasound scan of the uterus.
Legend
1. Bladder
2. Endometrium
3. Myometrium
4. Cervix
5. Ovarian Follicle

Figure 2b: Showing a Transverse ultrasound scan of the uterus.
Legend
1- Bladder
2- Endometrium
RESULTS
A total of three hundred and seven women took part in this study with their ages ranging from 18-50 years and a mean age of 31.25±8.46 years. The demographic patterns of age and distribution patterns of the body weights, heights, body mass index and parities is shown in table 1. The 31-40 years age group has the highest frequency of 109 (35.5%) subjects while the <20 years group of women have the lowest frequency of 40 (13%) subjects. This table also shows that as age increased the BMI increased simultaneously. The 41-50 years age group has the greatest BMI of 29.39+2.52 while the <21 years age group has the lowest BMI of 22.53+2.59.The age groups with the largest and smallest weights are 41-50 years and <20 years with 77.20+6.24kg and 55.12+6.58kg respectively. The age group of 31-40 years has the highest mean height of 1.59+0.08m while <21 years group has the least mean height of 1.56+0.03m.All the other parameters are seen to be increasi9ng as age increases with the exception of height which shows an irregular pattern.
In this study height correlated negatively with the uterine volume. It then means that as height increases, the uterine size and volume decreases. Height was the only parameter that showed an irregular pattern of distribution. It was not seen to be increasing or decreasing with age and with other parameters.
The <20years age group had the least mean height of 1.56+0.03m.While
<20years had a mean height of 1.59+0.04m the 41-50years group also had a mean height o0f 1.59+0.05m.
Weight increases as the age increases as shown in table 1this may be because of better feeding habit as the woman advances in age. The <20years age group has the least weight of 55.12+6.58kg while the 41-50years group had the greatest weight of 77.20+6.24kg
Table 1: Demographic Patterns of various parameters
|
|
Age (years) |
Frequency % |
Weight (kg) (M |
Height (meters) (M |
BMI (kg/m2) (M |
Parity (No. of births) (M |
|
|
<20 |
40(13.0) |
55.12 |
1.56 |
22.52 |
1.00 |
||
|
21 – 30 |
109 (35.5) |
64.0 |
1.59 |
25.18 |
1.58 |
||
|
31 – 40 |
117 (38.1) |
72.09 |
1.61 |
27.67 |
2.69 |
||
|
41 – 50 |
41 (14.0) |
77.20 |
1.59 |
29.37 |
3.38 |
||
|
Mean |
31.25 |
|
67.11 |
1.58 |
26.19 |
2.16 |
The relationship between age, uterine size and uterine volume is shown in Table 2. The <20 years age group recorded the smallest uterine length (5.73+0.67cm), width (4.50+0.65cm) and antero-posterior diameter (3.61+0.51cm),while the 41-50 years age group had the greatest uterine length (7.70+0.68cm), width(6.32+0.82cm) and antero-posterior diameter (5.26+0.87cm)The length, width and antero-posterior diameters are seen to be increasing as age increases.(Figure 6)
The mean uterine size for all age groups is 6.73+0.70cm, 4.45+0.73cm, and 5.47+0.95cm which represent the length, width and antero-posterior diameters respectively. A significant positive correlation is seen between age and the various indices of uterine size r=0.66,r=0.61 and r=0.58 (p<0.05) for length, width and antero-posterior diameter.(Figures 7-9).
Table 2: The Relationship between means of Age, Uterine Size and Uterine volume.
|
|
Age |
Length(cm)+SD |
Width (cm)+SD |
Antero- posterior(cm) |
Volume(cm3) |
|
|
< 20 |
5.73 |
4.50 |
3.61 |
41.14 |
||
|
21 – 30 |
6.42 |
5.13 |
4.10 |
58.89 |
||
|
31 – 40 |
7.11 |
5.94 |
4.81 |
90.11 |
||
|
41 – 50 |
7.70 |
6.32 |
5.26 |
111.67 |
||
|
Mean |
31.25 |
6.74+0.64 |
5.47 |
4.45 |
75.45 |

Figure 6:Line graphs showing the relationship between uterine length, width and antero- posterior diameter with the uterine volume.

Figure 7: Scatter graph showing the relationship between age and uterine length.

Figure 8: Scatter graph showing the relationship between age and uterine antero- posterior diameter.

Figure 9: Scatter graph showing the relationship between age and uterine width.
The mean uterine volume is 75.45+26.36cm3. There is an increase in uterine volume as age increases (Figures 10 and 11)
Age also correlates positively with uterine volume. r=0. 65( p<0.05) (Figure 11). The <20 years age group has the smallest uterine volume, while the 41-50 years age group has the largest uterine volume.

Figure 10: Bar chart showing the variation of age with uterine volume.

Figure 11:Scatter chart showing the relationship between age and uterine volume
Table 3 shows that there is significant steady increase in uterine size with increase in parity with the highest values of length-7.92+ 0.68cm , width- 6.57+0.74cm and AP -5.60+0.90cmcm being recorded at parity >3. Parity 1 has the smallest measures of size (length-6.64+0.86cm, width-5.3+0.67cm, AP- 4.12+0.51cm).A significant positive correlation is seen between uterine size and parity the correlation factors are as follows: length r=0.81, width-r=0.91, antero-posterior diameter r=0.72 (p<0.05). ( Figures 12-14)
Table 3: The Relationship between the means of Parity, Uterine Size and Volume.
|
|
Parity |
Frequency (%) |
Length(cm)
|
Width (cm) |
Antero-posterior(cm) |
Volume (M |
|
|
1 |
42.(21.6) |
6.64 |
5.31 |
4.12 |
63.79 |
||
|
2. |
56(28.9) |
6.90 |
5.71 |
4.64 |
79.91 |
||
|
3 |
53 (27.3) |
7.21 |
6.03 |
4.88 |
93.04 |
||
|
>3 |
43 (22.2) |
7.92 |
6.57 |
5.60 |
125.43 |
||
|
Mean |
2.16 |
|
7.17 |
5.91 |
4.81 |
90.48 |

Figure 12: Scatter graph showing the relationship between parity and uterine length.

Figure 13: Scatter graph showing the relationship between parity and uterine antero-posterior diameter.

Figure 14: Scatter graph showing the relationship between parity and uterine width
There is also a significant positive correlation between parity and uterine volume r= 0.69 (p < 0.05) (Figure 15) as uterine volume also increases with increasing parity .Parity 1 has a uterine volume of 63.79+22.21cm3 while >3 has a uterine volume of 125.43+32.92cm3.

Figure 15: Scatter chart showing the relationship between parity and uterine volume.
The body mass index(BMI) has been categorized into normal (18.5-25), overweight (25.5-30) and obese (>30) groups (Table 4).The BMI with the largest uterine size and uterine volume is the obese group (>30) with the following, length (7.50+1.05cm), width (5.96+0.99cm) and antero-posterior diameter (4.94+1.06cm), uterine volume for this age group is 98.35+40.93cm3. The women with normal BMI (18.5-25) show the least values of uterine size as follows: length (6.23+0.77cm), width (5.01+0.84cm), AP(4.01+0.77cm).The mean values for uterine size with respect to BMI are: length (6.87+0.86cm), width(5.49+0.90cm), AP(4.5+0.89cm).BMI indices also correlates positively with the various parameters of uterine size, the correlation factors are: for length=0.81, width r=0.90, AP r=0.93. (p <0.05) (Figures 16-18). The uterine size is seen to increase with increasing BMI.
Table 4: The Relationship between the means of BMI, Uterine Size and Volume
|
|
BMI |
Frequency (%) |
Length(cm) |
Width(cm) |
Antero-posterior (cm)+SD |
Volume(cm3) |
|
|
Normal(18-25) |
101(32.9) |
6.23 |
5.01 |
4.01 |
55.75 |
||
|
Over weight (25.5-30) |
159 (51.8) |
6.88 |
5.70 |
4.60 |
80.95 |
||
|
Obese (>30) |
47(15.3) |
7.50 |
5.96 |
4.94 |
98.35 |
||
|
Mean |
26.19 |
|
6.87 |
5.49 |
4.5 |
78.28 |
|
|
P-value |
|
|
0.0001 |
0.0001 |
0.0001 |
0.0001 |
a,b,c:- Means in the same column with different superscripts are significant (P<0.05).

Figure 16: Scatter showing the relationship between BMI and uterine length

Figure 17: Scatter graph showing the relationship between BMI and uterine antero- posterior diameter.

Figure 18: Scatter graph showing the relationship between BMI and uterine width
Uterine volume also shows a significant increase with increasing BMI. The obese group with a BMI of >30 has the largest uterine volume of 98.35+40.93cm3, while the smallest uterine volume of 55.75cm3 is seen amongst the group with normal BMI.
A significant positive correlation is seen between uterine volume and BMI with a correlational factor of r=0.43 (p<0.0001). (Figure 19).

Figure 19:Scatter chart showing the relationship between BMI with uterine volume.
In this study height correlated negatively with the uterine volume. It then means that as height increases, the uterine size and volume decreased and vice versa. Height was the only parameter that showed an irregular pattern of distribution, it was not seen to be increasing or decreasing with age and with other parameters (Table 1).
The <21years age group had the least mean height of 1.56+0.03m. While<21years had a mean height of 1.59+0.03m the 41-50years group also had a mean height of 1.59+0.05m this is contrary to the pattern of distribution age of the other parameters(weight, parity and BMI) which all increased as age increase.
Weight increases as the age increases as shown in table 1 this may be because of better feeding habit as the woman advances in age. The<21 years age group has the least weight of 55.12+6.58kg while the 41-50years group had the greatest weight of 77.20+6.24kg.It is also at the <20years and 41-50years age groups that we have the least and greatest uterine length, width and antero-posterior diameters respectively(Table 2).
Weight correlates positively with uterine volume. In other words as weight increases uterine volume also increases.
DISCUSSION
Enlargement of the uterus may be due to several factors which could be physiologic or pathologic. The estimation of uterine size and volume via palpation has a low sensitivity and specificity and in this context, sonographic examination is a well established method of investigating the uterus10. Compared to other imaging methods, advantages of ultrasonography in this context include its affordability, ease of use, freedom from ionizing radiation, ability to readily differentiate cystic from solid masses and its role in image guided interventional procedures.
Dandolu et al1 conducted a study on uterine size using 873 women whereas Olayemi et al21 conducted a study on the uterine size of negroid patients using
300 subject. 156 menopausal adult females were used by Platt et al25 to determine the normal size of the non-gravid uterus. They correlated their findings with various factors such as age, BMI, parity and found out that the uterine size positively correlates with these parameters.
In this study, three hundred and seven adult females were examined and the findings agree with the reports of these authors. The results of this study revealed that uterine size increased with increasing age, this observation conforms to the findings of Dandolu et al1 who reported that the size of the uterus increases as age increases. In a study conducted by Esmaelzadeh et al11 using 231 subjects between the ages of 15-45years they reported overall mean uterine size of 8.6cm x 4.9cm x 4.0cm with a mean age of 31.7+ 9.6years and a mean BMI of 24.7+4.0kg/m2 .Whereas Ryan et al5 reported a uterine size of 7.50cm x 5.00cm x 2.5cm for length, width and AP diameters respectively. Seffah and Adanu20, conducted a study in Ghana their mean uterine size is 7.10+1.1cm x 4.6+0.9cm x 3.9+0.5cm for length, width and AP diameters.
In the present study the mean uterine size is 6.70+0.70cm x 5.47+0.75cm x 4.45+0.73cm for length, width and AP diameters respectively. The length gotten in this study is lower than that reported by Sefah and Adanu21 as well as by Ryan et al4 and Esmaelzadeh et al11. The latter author has the highest value of 8.6cm.The reason for these differences could be as a result of experimental errors, locality of study, efficiency of equipment and even sample size. Akikido et al35 in their study reported that average uterine length and width in women of reproductive age is 8.00cm x 5.00cm.These values are different from what was derived from this study, may be because of the differences in locality.
The uterine volume as reported in this study is 75.4+26.36cm3, this is lower than the value reported by Sheth and Shah268 (95+23.15cm3).The difference in uterine volume could be due to the differences in age range used in these studies. While Sheth and Shah28 used subjects in the age range of 15 -50 years, the age range of 18-50 years was used in this study.
A study on ultrasound of uterine fibroid36conducted in 2010 reported that “A normal uterus will have a volume in the range of 150-250cm3’’. This report is however not clear on the age range and number of women used, as well as location of the research.
Adeeb et al37also conducted a study on uterine size and concluded that the uterine size diminished as from 45years of age when most women become menopausal which is similar to what was obtained in this study.
While Esmaelzadehet al11 reported that uterine size is independent of BMI, Dandolu et al1 states that there is a positive correlation between BMI and uterine size that is as BMI increases, uterine size also increases. They recorded that 47.1% of obese patients had the highest mean uterine weight of 349.53g and the overall BMI had a significant correlation with uterine size (p<0.0001).The findings in this study agrees with Dandolu et al1and confirms that obese subjects had the highest uterine size of 7.50+1.05cm x 5.96+0.79x x4.94+1.09cm and uterine volume of 98.35+40.98cm3.
Some factors such as nutrition, lack of exercise and sedentary life are predisposing factors to increase in BMI. It has been reported by Hedley et al38, Flegal et al39, Freedman et al40and Mokdad et al41that obesity in women in the United states increased from 25% to 33% over a period of 10years and their BMI correlated positively with uterine size. Similarly in this study uterine size is seen to increase as BMI increased. This may be due to the fact that weight which is the variable factor in BMI, is a determinant of reproduction that is there is improved reproductive ability with increasing weight as reported by Kim et al41. .
In this study it was clearly shown that as parity increased both uterine size and volume also increased simultaneously. This phenomenon agrees with the reports of Esmaelzadeh et al11, Gull et al15, Waldroup et al14 and Dandolu et al1 and Olayemi et al21.Benacereff et al27 specifically noted that the width of the uterus enlarges with increasing parity which is also the case in this study. He stated that the mean width ranged from 2.7cm in nulliparous to 3.2cm in multiparous subjects whereas in this study the mean width for multiparous women is 5.9+0.74cm.This is higher than the Caucasian value reported by Benacereff et al27. The difference in results could be as a result of racial difference even though the age range for both studies is the same (18-50years). The size of a non-pregnant uterus varies with the number of pregnancies and births; this was reported in a study conducted on fibroids in 200842,this assertion supports the increase in uterine size as parity increased as observed in this study. This increase in parity with increasing uterine size may be as a result of the pregnancy hormones and the uterine distension that goes with subsequent pregnancies.
Since uterine size and volume correlate positively with parity and BMI it then means that parity and BMI also correlate positively as shown in this study amongst women between the ages of 18-50years.This was also confirmed by Kim et al in 2007 in a study conducted on women (15-49years) where they reported that parity correlated positively with BMI amongst women in developed countries, they said these effects vary by household wealth and or national development. They concluded that reproduction is improved by increased BMI (weight) which is affected by nutrition, socio-economic status and level of development. Parity which is increased with reproduction thus correlates positively with BMI. Similar studies by Bradley44, Rossner45, Ganderson and Abrams46confirms that parity correlates positively with BMI.
This study also shows that the size of a woman’s uterus is independent of the woman’s height. There is also paucity of information as regards the relationship between the size of a woman’s uterus and her height.
The weight of a woman positively correlates with uterine size for the same reason as was given by Kim et al41,that is weight increases with improved life style which in turn improves reproduction and thus parity, There is also paucity of information as regards the relationship between weight and uterine size.
The major limitations experienced during the course of this study were:
1. Habitus of some patients for example obese patients made it difficult for the researcher to properly assess the uterus, while asthenic women imaged better.
2. Excessive bowel gas obscured pelvic structures and thus made scanning difficult.
CONCLUSION
This study has been able to establish normal values for uterine size and volume in non gravid adult females in a Nigerian population. The data collected can be used for comparison in cases of proven or doubtful uterine pathology.
The study has established positive correlation between uterine volume and anthropometric variables namely weight, height, and body mass index in non- gravid females in a Nigerian population.
RECOMMENDATIONS
1. Ultrasound evaluation should serve as a complementary role to clinical evaluation in more accurate determination of uterine size and volume.
2. In the assessment of uterine size and uterine volume of individuals, due consideration must be given to biometric parameters such as weight, height.
3. It is hoped that this study would stimulate further prospective studies with larger patient number to establish population specific uterine size and volume reference values.
REFERENCES
1. Adams J., Mason WP., Tucker M., Morris DV., Jacobs HS., Ultrasound assessment of changes in the ovary and uterus during LHRH therapy. Upsala Journal of Medical Science.1984; Vol. 89, (1): 39-41.
2. Adcock GW. Relationship between size and shape of uterus as regards outcome of pregnancy using sonohysterosalpingogram. Obstetrics and Gynecology.Net 2001.
3. Adeeb N, Nur-Azurah AG, Ong FB, Seri SS, Shamsuddin K, Noor-Ainimy. Nomograms of normal uterine size, ovarian size and endometrial thickness in urban midlife Malaysian women. Medical and Health Journal 2007; Vol. 2(1): 66 – 79
4. Akinola OI, Fabamwo AO, Akinola RA, Ottun TA, Akinniyi A, Akpan A.E. Uterine artery ligation for the treatment of symptomatic uterine fibroids; ActaObstericia et Gynecologica Scandinavia; 2009; Vol. 88(1): 59-62
4. Akikido KT, Kayoma T. Radiographics. The Journal of Continuing Medical Education in radiology 2003, Vol. 23:1423 – 1439, 2010. http://www.drjohnthomas.com/fibroiddultrasound.htm
6. Araoye MO; Research methodology with statistics for health and social sciences; 1st edition; Nathadex; 2004:1-286
7. Benaceraf BR, Shipp T, Lyons JG, Bromley B. Width of normal uterine cavity in premenopausal women and effect of parity. Obstet Gynecol. August 2010, Vol.116(2): 305 – 310.
8. Bradley, PJ. Conditions recalled to have been associated with weight gain in adulthood. Appetite. 1985; Vol. 6: 235-241 (PubMed).
9. Boechat MS, Westra J, Lippe B. Pediatric Radiology 1996; Vol. 26(1):37-39.
10. Dandolu V, Singr RMD, Lidicker JMS. BMI and uterine size: Is there any relationship? International Journal of Gynecological Pathology. 2010; Vol. 29 (6):568 - 571
11. Didia BC; Dapper DV, Nwankwo NC. Real-time sonographic measurement of normal uterine Dimensions in Nigerian Women. West African Journal of Ultrasound. 2001; Vol. (2): 20 – 25
12. Dekka Y, Cunnar P, Nillius SJ. Ultrasonic measurement of ovarian follicles, ovarian and uterus size during induction of ovulation with human gonadotrophins. Acta Endocrinologica,1995; Vol. 98 issue 4: 592-598.
14. Doerr HG. Sonographic evaluation of uterine size in patients with abnormal karyotype (Tumer’ssyndrome) after induction of puberty with oestrogens
15. Egbase PE, Al-Sharhan M, Grudzinskas JG. Influence of position and length of uterine on implantation and clinical pregnancy rates in vitro fertilization (IVF) and embryo transfer treatment cycles. European society of human reproduction and embryology Journal 2000; Vol. 15, No 9: 1943-1946.
16. Esmaelzadeh S, Rezaeil N, May H. A Normal uterine size in women of reproductive age in northern Islamic republic of Iran. Eastern Mediterenean Health Journal 2004; Vol. 10(3): 437 – 441
17. Fazana F, Raza TA, Qurushi AM. An ultrasonic study of uterine size in late Post menopausal women. Biomedica. 1998; Vol. 14: 119- 124.
18. Flegal, KM., Carroll, MD., Odgen, CL., Johnson, CL. Prevalence and trends in obesity among United States adult. JAMA. 1999-2000.5 Vol. 288: 1723-1727. (PubMed).
19. Freedman, DS., Kettel Khan, L., Serdula, MK., Galuska, DA., Dietz, WH. Trends and correlates of class 3 obesity in United States. JAMA the United States from 1990 through 2000; JAMA. Vol. 288: 1758-1761.
20. Ganderson, EP., Abrams, B. Epidemiology of gestational weight gain and body weight changes after pregnancy. Epidemiol Rev. 2000, Vol. 22: 261- 274. (PubMed).
21. Gull B, Karlson I, Milson- Granberg S. American Journal of Obstetrics and Gynecology.2001; Vol. 185(2): 386-391. and GH. Journal of Human Reproductive Advances.2005; Vol. 20: 105 (4);1418-1421
22. Hedley, AA, Ogden, CL, Johnson, CL., Carroll, MD, Curtin, LR, Flegal, KM. Prevalence of overweight and obesity among US children, adolescents, and adults. JAMA.2004; Vol. 291: 2847 -2850.
23. Hirt R. Uterus size may predict risk for premature twins after IVF. Paper presented at the European Society of Human Reproduction, Barcelona, Spain; 2008.
24. Kim SA, Yount KM, Ramakrishnan U, Martorell R .Relationship between parity and overweight varies with household wealth and national development. International Journal of Epidermiology.2007; Vol.36:93-101.
25.Kurtz AB, Kurtz RJ, Rifkin MD, Pasto ME, Cole-Beuglet C, Baltaowich OH, Wapner RJ, Tsatalis J, Goldberg BB. Total uterine volume: a new graph and its clinical applications; Journal of ultrasound in medicine; 1984; Vol. 3(7): 299 - 308
26. Magalhaes J, Aldright JM, Delima GR. Uterine volume and Menstrual patterns in users of the levonorgestrel-releasing Intrauterine system with idiopathic menorrhagic or menorrhagia due to leiomyoma; Department of obstetrics Gynacology clinic of Gynaecological Endocrinology, school of Medicine, Santa casan de são, São Paulo; 2007; Vol. 75 (3): 193-198.
27. Makanjuola D, Olatubosun O. Ultrasonically detected pregnancy occurring with large fibroid – a case report Nig. Quart J. Hosp. Med. 1985, 3(1)31-35.
28. Merz E, Tesanic MD, Bawmann F, Weber G, Wellek S. A transvaginal sonographic study of uterine size; Ultrasound in Obstertrics and Gynecology 1995; Vol. 7 issue 1: 38-42.
29. Mokdad, AH, Bowman, BM, Ford, ES, Marks, JS, Koplan, JP. The continuing epidemics of obesity and diabetes in the United Stastes. JAMA. 2001; Vol. 286: 1195-1200. (http://www.fibroids.net/aboutfibroids.html).
30. Nazari A, Askari H, Check JH, Shauhressy O. A Embryo transfer technique as a cause of ectopic pregnancy in IVF fertil. Steril;1993; Vol. 60: 919-921 (web of science, medline).
31. Ohagwu CC, Ugwu AC, Idigo FU. UTRI: Model formulation and normogram for a Nigerian population; Internet Journal of medical update 2009; Vol.4(1): 25 -28
32. Olayemi O. Omigbodun A.A., Obajimi MO., Odukogbe A.A, Agunloye AM., Aimakhu CO., Okunlola MA. Ultrasound assessment of the parity on post partum uterine involution. J. obstetGynaecol 2002 July Vol. 22(4): 381-384
33. Oladapo OT, Akinsanya AF. Relative morbidity of abdominal myomectomy for very large uterus; Arch Gynecol Obstet. 2010; PMID: 20379730 (Pubmed).
34. Okupe RF. The value of real time ultrasound in the diagnosis of pelvic masses in Nigeria women. Lagos experience W . Afr. J. Med. 1986:5(1):21-28
35. Pironen O, Kaihola H L. Uterine size measured by ultrasound during menstrual cycle. Acta Obstetrica et Gynecologica Scandinavia.1975; Vol. 54 (3): 247 – 250.
36. Platt JF., Bree RL., Davidson D. Sonographic correlation of non-gravid uterus to gross. Journal of Clinical Ultrasound.1990 ;Vol. 18 (1):15-19
37. Robbins SI and Cotran. Pathologic Basis of Disease, 2nd ed. WB. Sanders Company Philadelphia; 1979; 1241 – 1276.
38. Rossner, S. Short Communication: pregnancy, weight cycling and weight gain in obesity. Int J Obest Relat Metab Disord. 1992, Vol. 16: 145-147 (PubMed).
Ryan S, Mc Nicholas M. and Stephen E. Anatomy of Diagnostic Imaging. Elsevier Churchill Livingstone, 2004; 236-237.
39. Seffah JD, Adanu RMK. Sonographic determination of uterine size in young Ghanian women International Journal of Gynecology and Obstetrics.2004; Vol. 86 (1):61 – 62.
40. Sheth SS, Shah NN; Pre-operative Sonographic Estimation of uterine volume: An aid to determine the route of Hysterectomy; Journal of Gynaelogical Surgery; 2002; Vol.18 (1): 13 – 22
41. Sutton D. Text book of Radiology and Imaging pp. 1848, Elsevier Churchill Livingstone, 2002; Vol.2
42. Torgrim S, Trygve B. Uterine size, parity and umbilical cord length. Acta Obstetricia et Gynecologica Scandinavia,1989;Vol.68 (5): 439-441
43. Tsikhorozidou T, Conway Gerard S. Uterus size and ovarian morphology in women with isolated growth hormone deficiency, hypogonadotrophic hypogonadism and hypopituitarism. Clinical endocrinology,2004; Vol. 61(5): 567-527
44. Waldroup L, Liu JB, Sonograhic Anatomy of the female pelvic diagnostic medical sonography of obstetrics and gynecology Philadelphia;1997: 51-59.
|
Cite this Article: Wehke C and Eli S (2018). Sonographic Evaluation of the Normal Uterine Size and Volume Amongst Women of Ages 18 – 50 Years at the University of Port Harcourt Teaching Hospital. Greener Journal of Medical Sciences, 8(3): 027-050, http://doi.org/10.15580/GJMS.2018.3.031218043. |